Aqui o meu gorducho faz 3 meses na próxima 2ª feira, como e possível? É um grandeeee cliché dizer que o tempo passa rápido, mas passa, ui se passa! Estava eu há meia dúzia de dias completamente farta de estar grávida, a imaginá-lo cá fora e como iria mimá-lo tanto e agora aqui o mr. crescido já se rir que nem um perdido, já me arranca dezenas de cabelos, já tem manhas para vir ao colo e já ocupa a nossa vida por completo, aliás, caso para perguntar como era antes do Gui? É que eu não me lembro, parece que ele sempre este aqui em casa, que sempre fomos nós os 3 porque só assim faz sentido.
Dizer que me apaixono a cada dia é dizer pouco. Lamento desiludir toda a gente e todas a mães defensoras acérrimas de todas as parolices maternais, nada contra, mas não só não apreciei particularmente a gravidez (sim porque há coisas más sobre isso que ninguém fala) como não considero o dia do parto o dia mais feliz da minha vida! Claro que é um dos marcos mais importantes, mudou por completo quem eu sou e como vivo os meus dias. O Guilherme é a extensão de mim, só que a mais importante, a principal, aquela que tem prioridade sobre tudo e todos...sou eu, somos indissociáveis. O dia do parto (e os dias que se seguiram) foram dias felizes, mas que me causaram estranheza, desconfortos, medos, dúvidas... O dia mais feliz da minha vida qual é? São todos estes agora, é acordar e sorrir de imediato porque não há razão melhor para saltar da cama com toda a energia (mesmo tendo dormido 6 horas com intervalos de 30min para dar de mamar). Todos os dias olho para o meu filho e penso como pode ser possível gostar ainda mais dele do que na semana anterior...é um amor que se conquista também, podemos amar de forma incondicional mal nos colocam o ser minúsculo no peito, mas depois esse amor vai assumindo formas novas todos os dias, vamos conhecendo a personalidade dele e aquilo que sentimos parece aumentar a um nível desconhecido.
3 meses depois não podia estar mais feliz. Não olho para trás, por enquanto não sinto saudades de estar grávida, nem do Gui com 51cm, adoro o momento que estou a viver agora, esta está a ser a melhor fase enquanto mãe. Os nossos dias são absolutamente maravilhosos. Acordamos por volta das 7h com o Gui a barafustar (manhoso já sabe) e decretámos que esse bocadinho seria passado na cama com os papás (não me venham com teorias de que eles se habituam bla bla bla porque um dia vou desejar tanto que ele ainda queira fazê-lo e ele não vai querer), ficamos eu e o pai a dar mimos e ele adormece novamente todo satisfeito até às 8h, hora em que o pai toma banho e eu dor de mamar ao pequeno esfomeado. Depois o pai faz questão de o meter a arrotar e preparamos o pequeno-almoço que tomamos todos juntos, o Gui senta-se na cadeirinha da Chicco que agradecemos tanto ter comprado, é cadeira da papa e espreguiçadeira e apesar de não servir o propósito de espreguiçadeira, como deita ele fica à mesa e adora, é vê-lo rir como um doido.
Depois o pai vai para o trabalho e ficamos os dois a brincar no chão da sala ou no sofá até ele dar sinais de sono...às vezes vamos dar um passeio à rua, outras adormece no sofá e dorme a mini sesta da manhã. Ele não é muito de dormir, dorme pouco e não dorme sem mim, se saio da sala, passados uns 15min o rapaz reclama.
Depois não há regras, vamos vivendo o dia, uns dias ele brinca imenso, uns dias dorme, uns dias refila, uns dias quer só colo, outros aguenta-se na espreguiçadeira ou no ginásio...uns dias passeamos e ele fica todo contente...enfim, todos os dias são diferentes.
à noite temos mais rotinas, um de nós prepara o jantar e quando vamos jantar ele normalmente tá na hora da birra como eu carinhosamente lhe chamo, fica mais chatito e quer colo mas vai-se aguentando...depois é hora do pai brincar com ele e preparamos o banho que é dado lá para as 22h30, às 23h tá na cama e raramente reclama ou chora, adormece a arrotar e fica a dormir até por volta das 4h, 5h na loucura, mama e volta a dormitar até as 6h30, 7h.
Tudo isto muda várias vezes, pode até ter noites em que dorme apenas 3 horas, we never know, mas vamos vivendo e aprendendo os 3 :)
é essa a maravilha de sermos uma família, pensamos a 3, vivemos tudo a 3, e o Gui está a adaptar-se a nós e nós a ele e é fantástico. A ver pelo sorriso dele, parece-me tão feliz quanto nós :D
Thursday, July 24, 2014
Friday, June 06, 2014
Novidades do baby boy
Ufa, quase impossível ter tempo para as antigas rotinas! Não que não pudesse vir ao computador, mas nesses breves momentos há tanto para fazer que acabo por deixar outras de lado. Outras vezes apetece-me simplesmente deitar no sofá e dormir micro sestas enquanto o pimpolho não desperta.
Tem sido a melhor experiência e aventura da minha vida, mas também é muito cansativo física- e psicologicamente. O 1º mês foi o mais duro, estava exausta do parto e das primeiras grandes directas, as hormonas ainda andavam aqui aos saltos e era tudo uma descoberta. Depois as visitas, a confusão...enfim! Mas isso já lá vai e agora os dois sozinhos começamos a ter as nossas rotinas. A verdade é que passo 24h a pensar nele, a minha cabecinha não desliga e quando ele dorme as 3horas até mamar novamente, eu morro de saudades, parece que não o vejo há uma eternidade.
Quanto aqui ao meu baby boy, ele come com muitaaa vontade e já anda nos 5kg! é um mamão de primeira :) e não só come bem, como gosta de ficar aqui ao colinho agarrado à maminha e é uma chatice para o contrariar. Porta-se lindamente, dorme a maior parte das vezes sozinho no berço ou na alcofa, mas o sítio preferido continua a ser deitadinho ao colo da mamã ou do papá. Também adora o banho agora, só chorou as primeiras vezes mas agora fica super contente e atento, uma delícia. Só não gosta de mudar a fralda, 90% das vezes é um berreiro assustador. Os piores momentos são as cólicas :( tem imensos gases, fica com a barriguita cheia de ar e faz algumas valentes birras que podem durar umas 3horas, mas depois dorme como um anjinho, após umas massagens e miminho.
Eu estou a recuperar bem, apesar de ter engordado que nem uma mini baleiazita, já lá vão 13kg embora e espero estar no meu peso habitual até final deste mês. Tenho ido às aulas de recuperação de parto e adoro, pelo convívio com outras mães e bebés e também pelo exercício que é excelente. Para além disso, agora comecei as caminhadas com o pimpolho no carrinho que o 1º mês já lá vai e agora sempre que o tempo deixar vamos passear :)
Todos os dias são de descoberta. Todos os dias são uma nova etapa. Todos os dias o Guilherme faz algo novo que nos deixa derretidos como um sorriso lindo quando nos vê de manhã, ou quando agarra em alguma coisa pela primeira vez.
E eu estou todos os dias mais apaixonada, é um amor que vai crescendo a cada hora quase, tem tanto de bom como de assustador amar tanto assim um piolho tão pequeno.
Tem sido a melhor experiência e aventura da minha vida, mas também é muito cansativo física- e psicologicamente. O 1º mês foi o mais duro, estava exausta do parto e das primeiras grandes directas, as hormonas ainda andavam aqui aos saltos e era tudo uma descoberta. Depois as visitas, a confusão...enfim! Mas isso já lá vai e agora os dois sozinhos começamos a ter as nossas rotinas. A verdade é que passo 24h a pensar nele, a minha cabecinha não desliga e quando ele dorme as 3horas até mamar novamente, eu morro de saudades, parece que não o vejo há uma eternidade.
Quanto aqui ao meu baby boy, ele come com muitaaa vontade e já anda nos 5kg! é um mamão de primeira :) e não só come bem, como gosta de ficar aqui ao colinho agarrado à maminha e é uma chatice para o contrariar. Porta-se lindamente, dorme a maior parte das vezes sozinho no berço ou na alcofa, mas o sítio preferido continua a ser deitadinho ao colo da mamã ou do papá. Também adora o banho agora, só chorou as primeiras vezes mas agora fica super contente e atento, uma delícia. Só não gosta de mudar a fralda, 90% das vezes é um berreiro assustador. Os piores momentos são as cólicas :( tem imensos gases, fica com a barriguita cheia de ar e faz algumas valentes birras que podem durar umas 3horas, mas depois dorme como um anjinho, após umas massagens e miminho.
Eu estou a recuperar bem, apesar de ter engordado que nem uma mini baleiazita, já lá vão 13kg embora e espero estar no meu peso habitual até final deste mês. Tenho ido às aulas de recuperação de parto e adoro, pelo convívio com outras mães e bebés e também pelo exercício que é excelente. Para além disso, agora comecei as caminhadas com o pimpolho no carrinho que o 1º mês já lá vai e agora sempre que o tempo deixar vamos passear :)
Todos os dias são de descoberta. Todos os dias são uma nova etapa. Todos os dias o Guilherme faz algo novo que nos deixa derretidos como um sorriso lindo quando nos vê de manhã, ou quando agarra em alguma coisa pela primeira vez.
E eu estou todos os dias mais apaixonada, é um amor que vai crescendo a cada hora quase, tem tanto de bom como de assustador amar tanto assim um piolho tão pequeno.
![]() |
| a minha mini zebra linda |
Monday, May 12, 2014
Guilherme is here!
Desculpem a enorme ausência, foi uma grande falha mas ainda não tinha ligado o computador nestas ultimas duas semanas, limito-me a usar o tmv e dar algumas notícias através do facebook e instagram.
O Gui nasceu no dia 28 de Abril às 16h30 com 3.380kg e 51cm. O dia começou muito cedo, acordámos por volta das 5h da manhã, preparei-me, tomei um bom banho relaxante e às 8h dei entrada na clínica para começar a indução. Por volta das 11h tive rompimento da bolsa e começaram as contracções em força. Por volta das 13h levei epidural e depois foi tudo muito rápido. Depois de subir para a sala de partos foram precisos apenas uns 20minutos e o amor da minha vida estava no meu peito. Não há palavras no mundo para descrever esse momento.
Agora estamos radiantes mas ainda em fase de adaptação. Esta será a primeira semana a 3 e vai ser uma enorme aventura, até ontem a minha mãe esteve connosco a dar algum apoio.
O meu filho é só o bebé mais fofo e perfeitinho do mundo :) (palavra de mãe =P)
Quando esta azáfama passar volto com mais notícias, até lá, vou só ali namorar mais um pouco o meu principe.
O Gui nasceu no dia 28 de Abril às 16h30 com 3.380kg e 51cm. O dia começou muito cedo, acordámos por volta das 5h da manhã, preparei-me, tomei um bom banho relaxante e às 8h dei entrada na clínica para começar a indução. Por volta das 11h tive rompimento da bolsa e começaram as contracções em força. Por volta das 13h levei epidural e depois foi tudo muito rápido. Depois de subir para a sala de partos foram precisos apenas uns 20minutos e o amor da minha vida estava no meu peito. Não há palavras no mundo para descrever esse momento.
Agora estamos radiantes mas ainda em fase de adaptação. Esta será a primeira semana a 3 e vai ser uma enorme aventura, até ontem a minha mãe esteve connosco a dar algum apoio.
O meu filho é só o bebé mais fofo e perfeitinho do mundo :) (palavra de mãe =P)
Quando esta azáfama passar volto com mais notícias, até lá, vou só ali namorar mais um pouco o meu principe.
Monday, April 07, 2014
Aulas de Preparação para o Parto
Houve uma altura, ali por volta das 30 semanas, que liguei para o hospital para marcar as aulas e recebi, uns dias mais tarde, a triste notícia que não tinha vaga! Fiquei super chateada, e culpando as Drªs hormonas novamente, chorei e tudo.
Acabei por recorrer a umas aulas dadas no Centro de Saúde que incluem aula prática e aula teórica. Comecei a frequentar e gostei bastante, tem uns exercícios bastante completos, acho as teóricas bem fraquitas, mas ajudam a passar o tempo e é sempre informação preciosa.
Mais recentemente, acabámos por finalmente tomar a decisão de fazer o parto do Guilherme na clínica privada (caso ele nos deixe e não decida vir esta semana) e comecei também a frequentar as aulas de preparação de lá! São tãaaao melhores, adoro a enfermeira/parteira, é uma comédia, a mulher é uma castiça, tem imensa experiência, faz partos há mais de 40 anos, é impossível não nos rirmos numa aula dela, mas no meio de muito disparate e alguma comédia, a verdade é que ficamos devidamente informados sobre todo o processo.
Desmistifiquei a minha ideia de parto, acabei por tirar da cabeça a ideia de fazer cesariana e neste momento, estou muito mais consciente do que se irá passar. Continuo uma maricas do pior...continuo aterrorizada com a agulha da epidural confesso, mas estou bem mais à vontade, sinto-me em casa lá, visitamos várias vezes a sala de partos, vamos visitando as meninas do curso que entretanto vão sendo mães, e tudo passa a ser bem mais real :)!
Aconselho vivamente a quem tenha a possibilidade :)! convivemos com outras grávidas, ouvimos outras experiências, fazemos bastantes exercícios que eu tenho a esperançazinha que ajudem alguma coisa na hora h e ajuda a que o tempo passe!
Ainda não!
Ainda por aqui continuamos, com 36 semanas e 3 dias :)! Neste momento, entrámos na verdadeira contagem decrescente. Se aqui o rapaz não quiser nascer antes, será no dia 28 de Abril...faltam 20 dias!
Continuo bastante ansiosa, já passei a fase mais calma de aproveitar cada minutinho, mas estou novamente a ficar impaciente e cansada. Nunca escondi que não sou aquelas pessoas que adoram estar grávidas...amei passar por esta experiência, tenho vivido momentos únicos, sensações que são impossíveis de descrever, tenho sentido uma aproximação muito especial enquanto casal...mas...mas há sempre o mas. Estas últimas semanas são cansativas, apesar de dormir maravilhosamente bem, sim porque eu tenho um filho lindo educadinho que brinca de dia e dorme de noite, já noto que me arrasto bastante, que as pernas pesam, que me custa estar sentada, as refeições são um tormento porque não tenho posição à mesa, nem apetite...e quando como a mais, fico com uma azia que só visto!
posto tudo isto, meu querido filho, podes começar a arrumar isso tudo aí dentro, tenta deixar tudo como estava, e anda cá para fora que estamos todos doidos para te conhecer e te esmagar e lambuzar em mimos e beijos e abraços...mal posso esperar.
![]() |
| 36semanas |
Continuo bastante ansiosa, já passei a fase mais calma de aproveitar cada minutinho, mas estou novamente a ficar impaciente e cansada. Nunca escondi que não sou aquelas pessoas que adoram estar grávidas...amei passar por esta experiência, tenho vivido momentos únicos, sensações que são impossíveis de descrever, tenho sentido uma aproximação muito especial enquanto casal...mas...mas há sempre o mas. Estas últimas semanas são cansativas, apesar de dormir maravilhosamente bem, sim porque eu tenho um filho lindo educadinho que brinca de dia e dorme de noite, já noto que me arrasto bastante, que as pernas pesam, que me custa estar sentada, as refeições são um tormento porque não tenho posição à mesa, nem apetite...e quando como a mais, fico com uma azia que só visto!
posto tudo isto, meu querido filho, podes começar a arrumar isso tudo aí dentro, tenta deixar tudo como estava, e anda cá para fora que estamos todos doidos para te conhecer e te esmagar e lambuzar em mimos e beijos e abraços...mal posso esperar.
Wednesday, March 19, 2014
Ser mãe é...
![]() |
| foto Miguel Silva |
estou sempre a perguntar-me como estarás tu aí dentro na tua vidinha? uma das coisas mais incríveis ao longo de 40 semanas de gravidez é que tu vais crescendo, amadurecendo, surgem os teus primeiros batimentos cardíacos, depois forma-se o teu corpo, os teus órgãos vão ganhando forma, os teus sentidos vão ficando apurados um por um, abres os olhos, desenvolves padrões de sono e de comportamento, treinas a respiração, o teu sistema nervoso e muscular fica formado...tudo isto é realmente um milagre autêntico, não há volta a dar, mas cá fora eu cresço também.
E cresce-se de uma forma que nunca seria possível sem experienciar todo este processo. Desde que soube da tua existência até hoje, sou uma outra pessoa e isso nunca aconteceria neste espaço de tempo se tu não existisses. A nossa forma de pensar, de encarar a vida, ajusta-se gradualmente, quase sem darmos conta. Achamos que não, que não estamos a ficar mães galinhas, que não estamos a pensar o suficiente no nosso rebento que vai mexendo e crescendo aqui dentro, achamos que não somos capazes, que os medos e dúvidas são tantos que nunca conseguiremos lidar com tudo, mas a verdade é que pouco a pouco isso acontece, e acontece de uma forma incrivelmente natural.
nunca achei que iria sentir saudades de te ter aí dentro. adorei cada momento desta fase, mas sempre com a ânsia de te poder ter nos meus braços. neste momento sei que vou sentir falta desta ligação tão única, tão próxima. não há nada que possa assemelhar-se a esta sensação e é disso que vou sentir saudades...de nós dois unidos desta forma.
Tuesday, March 18, 2014
O quartinho do Gui
Coloquei aqui há umas semanas os preparativos do quarto e nessa altura mal podia esperar por ver o resultado! Finalmente, cá está ele...ainda com alguns pormenores muito importantes em falta :)
Espero que gostes baby! mal posso esperar por ter ver esticadinho ali junto ao mocho <3
Monday, March 17, 2014
33 semanas...final countdown
Cá andamos, muito barrigudas! Continuo a sentir-me super bem, muito melhor do que há umas 10 semanas atrás, eu sei...não é comum, mas como eu sou daquelas mães hiper paranóicas (desculpa lá filho) neste momento tenho aquela "ilusão" que já estamos mais pertinho e menos coisas más lhe podem acontecer!
Sabe tão bem finalmente poder apanhar um solinho :)! este Domingo esforcei-me por caminhar bastante, algumas vezes bem devagarinho porque o rapaz não pára nem 1minuto, ele é pontapés por todo o lado, voltas completas, empurrões, uma festa autêntica.
A próxima consulta será daqui a uma semana, já com 34semanas e 4 dias e vamos ver se saio de lá com novidades sobre o parto. Na última consulta aqui o rapagão já se encontrava no percentil 75 com peso aproximado de 2.100kg!!
E assim continuamos, completamente babadas e in love por este barrigão que já apetece abraçar só de o sentir ali tão pertinho.
Thursday, March 06, 2014
Das aulas de preparação para o parto
Já comecei as aulas de preparação para o parto às 30 semanas :)! Tenho gostado bastante porque ajuda o tempo a passar, convivo com outras mamãs grávidas do mesmo tempo e aprendo muitas coisinhas que podem vir a ser úteis.
A par disso, tenho tentado inscrever-me em alguns workshops e é sempre giro ter novas dicas e conselhos, ajuda-nos a sentir mais seguras.
Também fui fazer a visita à maternidade do hospital, fiquei a conhecer as salas de partos e o internamento e foi possível esclarecer todas as dúvidas. Gostei bastante até, se bem que continuo a achar que o pai não poder ficar connosco o tempo todo é algo que não me agrada. Esta semana espero visitar agora o hospital privado e depois sim tomar decisões.
Estou em contagem decrescente para a consulta da próxima semana, é a última ecografia e estou ansiosa por ver aqui o pimpolho em detalhe. Quando é que inventam assim um aparelho para estar vê-lo 24h por dia? tipo Baby Brother, eu cá aderia (ok, eu sei, sou paranóica)!
A par disso, tenho tentado inscrever-me em alguns workshops e é sempre giro ter novas dicas e conselhos, ajuda-nos a sentir mais seguras.
![]() |
| aqui estou eu na aula com 30semanas |
Também fui fazer a visita à maternidade do hospital, fiquei a conhecer as salas de partos e o internamento e foi possível esclarecer todas as dúvidas. Gostei bastante até, se bem que continuo a achar que o pai não poder ficar connosco o tempo todo é algo que não me agrada. Esta semana espero visitar agora o hospital privado e depois sim tomar decisões.
Estou em contagem decrescente para a consulta da próxima semana, é a última ecografia e estou ansiosa por ver aqui o pimpolho em detalhe. Quando é que inventam assim um aparelho para estar vê-lo 24h por dia? tipo Baby Brother, eu cá aderia (ok, eu sei, sou paranóica)!
![]() |
| 31 semanas |
Baby Shower do Guilherme
O tempo agora realmente tem passado mais rápido, quase não me dá oportunidade para escrever aqui...quero tanto registar tudo, as fotos já são centenas, mas não é fácil ir escrevendo alguma coisa sobre as sensações por estes lados.
A parte boa é que, emocionalmente, acho esta fase muito melhor. Sinto-me bem e é um descanso sentir aqui o atleta o dia inteiro nos treinos de alta competição. (ok, não contem a ninguém que mal ele pára 30minutos eu faço umas festinhas discretas como quem não quer a coisa só para o sentir encostar-se na minha mão <3)
Continuo gigante gigante, não sei onde isto vai parar por este andar, será que vou rebolar? Já me esqueço que não vou caber naquele espaço entre uma cadeira ou uma parede, ou que não me posso baixar para apertar as botas. No fim de jantar é ver-me recostar na cadeira com uma pança incrível, com uma almofada atrás das costas, tipo velhinha! Aos desconfortos junta-se o arfar acelerado quando ando digamos 100 metros seguidos (se subir escada morro). Já não consigo comer como antes, tenho fome sim, mas o meu estômago deve estar tão esmagado que se beber um copo de sumo, já não cabe mais nada, se insistir posso deitar-me porque já não me mexo mais!
Mas calma, isto não são só coisas desconfortáveis, nada disso! Abraçar a barriga quando estou sozinha na cama é só a melhor das sensações do mundo, sentir que ele reage a tudo o que eu faço, que se vira de noite quando eu mudo de posição, que se assusta com sons mais altos, que dá pontapés quando colocamos a música do brinquedo dele...é de ficar com aquele sorrisinho parvo durante horas.
E sem mais demoras, deixo algumas fotos do BabyShower do Guilherme, organizado pelas minhas amigas (obrigada <3). estava tudo lindo, perfeito, maravilhoso...enfim, foi só a melhor das surpresas dos últimos tempos, fiquei super embasbacada, sem palavras, o meu cérebro já anda meio lento e feito em papa e naquele dia acho que não consegui fazer 2 frases seguidas.
Teve direito a uma decoração digna das melhores party designers :D, cheia de docinhos maravilhosos, fonte de chocolate, bolachinhas, muitos chás, sumo de laranja e limonada. Teve ainda direito a jogos super divertidos e a prendinhas para o Guilherme.
Um dia que ficará, sem dúvida, marcado. Mal posso esperar por contar tudo ao garoto quando ele nascer, já és um mimado Gui :)
A parte boa é que, emocionalmente, acho esta fase muito melhor. Sinto-me bem e é um descanso sentir aqui o atleta o dia inteiro nos treinos de alta competição. (ok, não contem a ninguém que mal ele pára 30minutos eu faço umas festinhas discretas como quem não quer a coisa só para o sentir encostar-se na minha mão <3)
Continuo gigante gigante, não sei onde isto vai parar por este andar, será que vou rebolar? Já me esqueço que não vou caber naquele espaço entre uma cadeira ou uma parede, ou que não me posso baixar para apertar as botas. No fim de jantar é ver-me recostar na cadeira com uma pança incrível, com uma almofada atrás das costas, tipo velhinha! Aos desconfortos junta-se o arfar acelerado quando ando digamos 100 metros seguidos (se subir escada morro). Já não consigo comer como antes, tenho fome sim, mas o meu estômago deve estar tão esmagado que se beber um copo de sumo, já não cabe mais nada, se insistir posso deitar-me porque já não me mexo mais!
Mas calma, isto não são só coisas desconfortáveis, nada disso! Abraçar a barriga quando estou sozinha na cama é só a melhor das sensações do mundo, sentir que ele reage a tudo o que eu faço, que se vira de noite quando eu mudo de posição, que se assusta com sons mais altos, que dá pontapés quando colocamos a música do brinquedo dele...é de ficar com aquele sorrisinho parvo durante horas.
E sem mais demoras, deixo algumas fotos do BabyShower do Guilherme, organizado pelas minhas amigas (obrigada <3). estava tudo lindo, perfeito, maravilhoso...enfim, foi só a melhor das surpresas dos últimos tempos, fiquei super embasbacada, sem palavras, o meu cérebro já anda meio lento e feito em papa e naquele dia acho que não consegui fazer 2 frases seguidas.
Um dia que ficará, sem dúvida, marcado. Mal posso esperar por contar tudo ao garoto quando ele nascer, já és um mimado Gui :)
Monday, February 17, 2014
Novidades da semana (26-29 semanas)
![]() |
| 27 semanas |
Estas últimas semanas têm passado, finalmente, um pouco mais rápido. Estamos a chegar às 30 semanas e isso dá outro sentido às coisas. Caramba, afinal está quase!
Ontem dei por mim a pensar "olha, mas eu vou ter um bebé, um de verdade!". Isto pode parecer muito estranho mas eu esqueço-me que vou ser mãe. Não me esqueço dele, isso nunca...estou 24h por dia a pensar nele, a sonhar com ele...mas depois esqueço-me que daqui a umas semanas ele salta cá para fora e aí sim, aí vou ser mãe, vou ter o meu filho... e tudo isso é, ainda, demasiado surreal.
Novidades destas 3 semanas:
- Não consigo subir as escadas do prédio sem chegar a arfar como se tivesse corrido a maratona
- Tenho fome, muitaaaa fome!
- Fomos à consulta e o Guilherme está de rabo sentadinho
- Pontapés de 5 em 5minutos
- Aquilo que eu pensava ser um pé...é a cabeça dele (oops)
- 2 primeiras aulas de preparação para o parto: checked
- Fomos nadar! soube incrivelmente bem de repente não sentir este peso todo. Por segundos esqueci-me que já tinha mais 12kg em cima de mim.
- Chorei umas 10 vezes
- Bati o record de barritas kinder, croissants de chocolate, bolos...é triste!
- Pela primeira vez na vida pedi strogonoff de vitela quando a opção era peixe grelhado (a seguir apeteceu-me bater-me)
- O Guilherme mexe-se a todas as minhas festinhas na barriga. É a primeira e última coisa que faço todos os dias
- Antes de dormir: música todos os dias. Tenho uma enorme esperança que o garoto adormeça cá fora desta forma tão pacífica.
![]() |
| 29 semanas |
![]() |
| no S. Valentim |
Tuesday, January 28, 2014
Lista de maternidade
A minha data prevista para o parto (DPP como carinhosamente lhe chamam) foi alterada recentemente. Fiz a eco morfológia e ah e tal "o garoto está enorme" e a nova data passa a 28 de Abril. Começámos a 5 de Maio, passou para 2 e já vamos em Abril! Por mim tudo bem, eu quero que ele nasça só quando estiver prontíssimo, mas quero que ele venha logo :)
E é sobre isso que vou falar hoje, mala da maternidade. Eu que sabia basicamente nada sobre este tema...tenho vindo a informar-me, a ouvir um pouco aqui e ali e a basear-me nas diversas listas existentes! Como ainda nem sei ao certo onde nascerá o meu rebento, tenho duas listas semelhantes e vou guiar-me por lá.
Pretendo fazer a mala lá para Março, mas até lá, e porque me espera uma paragem forçada, tenho tentado comprar tudo aquilo que quero escolher o quanto antes. Isto é, a minha obstetra acha que eu já devia estar sossegadita, por isso, assim que ela em Dezembro me disse isso, toca de ir correr para o IKEA e comprar móveis, toca de stressar o papá com "temos que tratar já do varão dos cortinados"..."leva tudo para a garagem, é urgente"! e o rapaz, pensando que seria melhor respeitar estes desvarios de grávida, assim fez!
Sinto-me mais tranquila por ter o mobiliário pesado todo compradinho...assim, não corro riscos de estar feita lontrinha na cama a dar instruções pelo telefone para que comprem o que eu queria. Tinha esse enorme desejo de escolher os móveis e algumas primeiras roupinhas, descansadinha, acompanhada do pai. Para mim, é assim que deve ser. Foi mais cedo que o previsto, mas foi :)
Mais coisa, menos coisa, as listas incluem:
Antes de ir para a maternidade: 
Pense nas necessidades do seu bebé…
- 5 conjuntos interiores (body + calcinha interior com pé)
- 5 conjuntos exteriores ou babygrow
- Meias e botinhas
- 2/3 gorros
- Dois casacos de lã
- Duas toalhas
- Cinco babetes
- Cinco fraldas de pano
- 2 mantinhas
- Um pacote de fraldas
- Um saco de higiene com sabonete, champô, creme, algodão, toalhitas, creme para o rabinho, e escova de cabelo
- Uma cadeira de segurança auto Gr. 0 para quando sair
- Os ficheiros médicos e a caderneta
- As roupinhas para cada dia devem ser colocadas em saquinhos individuais e identificadas
Pense nas suas necessidades...• Três camisas de noite ou pijamas (com uma abertura fácil na frente para poder amamentar)
• Duas toalhas
• Cuecas descartáveis e pensos higiénicos muito absorventes
• Saco de higiene e secador
• Câmara, revistas, livros, agenda de contactos...
• Duas toalhas
• Cuecas descartáveis e pensos higiénicos muito absorventes
• Saco de higiene e secador
• Câmara, revistas, livros, agenda de contactos...
Se pensa amamentar...• Dois sutiãs de amamentação
• Duas conchas recolhe-leite e dois bicos de seio
• Almofadas de amamentação e compressas anestésicas
• Um creme para os seios para utilizar regularmente
• Duas conchas recolhe-leite e dois bicos de seio
• Almofadas de amamentação e compressas anestésicas
• Um creme para os seios para utilizar regularmente
De volta a casa:
Se está a amamentar:
Um tira-leite com os acessórios
Um tira-leite com os acessórios
Se alimenta o seu bebé com o biberão…
• Seis biberões com tetinas para recém-nascido
• Esterilizador eléctrico ou de micro-ondas
• Aquecedor de biberões
• Doseador de leite
• Escovilhão
• Escorredor de biberões
• Saco isotérmico para biberões
• Seis biberões com tetinas para recém-nascido
• Esterilizador eléctrico ou de micro-ondas
• Aquecedor de biberões
• Doseador de leite
• Escovilhão
• Escorredor de biberões
• Saco isotérmico para biberões
Para o dia-a-dia deve ter...• Intercomunicador
• Chupeta para recém-nascidos, se ele assim o desejar
• Banheira de bebé
• Termómetro de banho
• Produtos para o cuidado do bebé: loção de limpeza, soro fisiológico, compressas esterilizadas, fraldas, creme, algodão
• Termómetro
• Desobstrutor nasal
• Escova para o cabelo
• Chupeta para recém-nascidos, se ele assim o desejar
• Banheira de bebé
• Termómetro de banho
• Produtos para o cuidado do bebé: loção de limpeza, soro fisiológico, compressas esterilizadas, fraldas, creme, algodão
• Termómetro
• Desobstrutor nasal
• Escova para o cabelo
Parece muita coisa, depois na realidade não é assim tanta, vai-se comprando nas calmas, muitas delas não são necessárias e outras quantas acabam por oferecer, ou emprestar. A lista para as coisinhas do bebé varia bastante de hospital para hospital e a lista é entregue a cada mamã. Vou levar menos coisas, até porque vamos estar em Abril, logo, estará menos frio.
Ficam já com uma ideia do que se tem andado a comprar por aqui.
Monday, January 27, 2014
Quase no 3º trimestre - Preparativos do quarto para o rebento
Estamos hoje com 26 semanas e 3 dias.
A duas últimas semanas ficaram marcadas pela ansiedade. Foi necessário fazer um ecocardiograma fetal porque a médica ficou com algumas dúvidas sobre um parâmetro em falta na ecografia morfológica.
Levou-me a pensar o quanto eu me preocupo com esta mini-criatura que aqui anda dentro. Por muito que a médica dissesse que não era razão de alarme, por muito que eu lá no fundo soubesse que não fazia sentido, que o médico que fez a morfológica garantiu que estava tudo bem...por muito que e que... a verdade é que a preocupação se instalou e ocupou o meu coração. Só queria que o tempo passasse para chegar o momento de ouvir que estava tudo bem.
Foram duas semanas passadas meio em baixo, sempre com aquela duvidazinha ali dentro a fazer comichão...mas o dia chegou finalmente e foi bom demais ouvir "o coração do Guilherme é lindo" :)! e sim, ele é lindo, todo ele, todos os tracinhos que já nos revelou, todos os pontapés e festas que ele faz aqui dentro, todas as vezes que ouvimos o coração...sim, é lindo.
Caramba, já fizemos 6 meses. Vamos entrar no 3º trimestre.
O tempo passa sim. Mas para mim podia passar ainda mais rápido. Tenho uma enorme vontade que chegue o final de Abril para poder ter, finalmente, este piolho nos braços. Eu nunca fui pessoa de ter muita paciência para esperar, quando sei que algo bom está ao virar da esquina, mal me contenho para lá chegar. Coisas boas? Venham rápido. E esta parece-me ser "só" a melhor coisa que já me aconteceu...por isso, que venha já, que passe rápido o tempo!
Para amenizar as semanas, andamos nos preparativos do quarto. Depois de retiradas todas as mil e uma tralhas:
Hora do Pai montar todos os móveis:
E a coisa a compor-se:
Basicamente, trata-se de um quarto Ikea :)! Ficou bastante económico e foi tudo oferta da avó Dina!
As próximas ideias são:
A duas últimas semanas ficaram marcadas pela ansiedade. Foi necessário fazer um ecocardiograma fetal porque a médica ficou com algumas dúvidas sobre um parâmetro em falta na ecografia morfológica.
Levou-me a pensar o quanto eu me preocupo com esta mini-criatura que aqui anda dentro. Por muito que a médica dissesse que não era razão de alarme, por muito que eu lá no fundo soubesse que não fazia sentido, que o médico que fez a morfológica garantiu que estava tudo bem...por muito que e que... a verdade é que a preocupação se instalou e ocupou o meu coração. Só queria que o tempo passasse para chegar o momento de ouvir que estava tudo bem.
Foram duas semanas passadas meio em baixo, sempre com aquela duvidazinha ali dentro a fazer comichão...mas o dia chegou finalmente e foi bom demais ouvir "o coração do Guilherme é lindo" :)! e sim, ele é lindo, todo ele, todos os tracinhos que já nos revelou, todos os pontapés e festas que ele faz aqui dentro, todas as vezes que ouvimos o coração...sim, é lindo.
Caramba, já fizemos 6 meses. Vamos entrar no 3º trimestre.
O tempo passa sim. Mas para mim podia passar ainda mais rápido. Tenho uma enorme vontade que chegue o final de Abril para poder ter, finalmente, este piolho nos braços. Eu nunca fui pessoa de ter muita paciência para esperar, quando sei que algo bom está ao virar da esquina, mal me contenho para lá chegar. Coisas boas? Venham rápido. E esta parece-me ser "só" a melhor coisa que já me aconteceu...por isso, que venha já, que passe rápido o tempo!
Para amenizar as semanas, andamos nos preparativos do quarto. Depois de retiradas todas as mil e uma tralhas:
Hora do Pai montar todos os móveis:
E a coisa a compor-se:
Basicamente, trata-se de um quarto Ikea :)! Ficou bastante económico e foi tudo oferta da avó Dina!
As próximas ideias são:
- Personalizar a cómoda: mudar os puxadores
- Aplicar este decalque na parede. Já está compradinho e em princípio fica ali ao lado dos móveis com os cubos
- 3 quadros em feltro feitos por uma das titias para colocar por cima da cómoda
- Uma nuvem assim, também feita pela mesmo titia (ela é a artista de trabalhos manuais :) e nada melhor do que coisinhas handmade, têm outro significado
- Arranjar um tapete bonitinho (eu tenho probelmas com tapetes, nunca gosto de nenhum)
- Colocar os cortinados, já vou hoje buscá-los e logo à noite é só colocar
- Comprar um candeeiro de apoio à poltrona e um apoio para os pés (se bem que não será aqui que vou amamentar, tenho uma cadeira de baloiço tão confortável)
Depois disso basta apenas decidir-me pelo contorno de berço e afins. Eu sou doida pela colecção da Zara Home: http://www.zarahome.com/webapp/wcs/stores/servlet/category/zarahomept/pt/zarahomekidspt/808017/Acesorios%2BTextil (as nuvens são lindaaas)
A almofada de amamentação é da Chicco e foi adquirida através de um vale de desconto quando comprámos o carrinho. Os avós Isabel e João ofereceram o carrinho I-move da Chicco e ficámos com 200€ em cartão. Acabámos por comprar:
- A cadeira da papa, que se transforma em espreguiçadeira. Assim conto usar desde o nascimento até aos 3 anos.
- Almofada de amamentação que serve para eu dormir também neste momento
O resto de tudo o que ele já tem, foi praticamente só ofertas. Nós comprámos pouquinhas coisas, apenas o 1º babygrow, a 1ª roupinha e mais umas cosinhas quando ele for mais velhito . Mas o rapaz já tem mais roupa do que eu e o pai juntos:
e sapatinhos lindos:
Vamos lá a mais uma semana, vou continuando a actualizar as novidades!
Friday, January 17, 2014
Gravidez, passo a passo
Ninguém está preparado para o que isto vai ser, ninguém! Tanto faz quando vamos descobrir, mas no dia em que vemos os 2 tracinhos no teste de gravidez, tudo muda. Nunca mais fui a mesma, e isto parece estúpido, sei lá, uma pessoa não muda assim, certo? Não deixamos de ser nós só porque descobrimos que estamos grávidas, que vamos ter um filho. A verdade é que, nesse exacto momento, a nossa cabeça começa imediatamente a mudar, a focar-se no pequeno rebento dentro da barriga e que, dali a um dia longínquo, será um bebé.
Eu não sabia o que me esperava. Não fazia ideia do que era sentir-me mais mãe. Naquele dia fiquei preocupada. Preocupada com tanta coisa, como iria divulgar a notícia, como iriam as pessoas receber a notícia, como iria sentir-me dali para a frente, como iria mudar o escritório para ser um quarto, como iria ser no trabalho...e um milhão de outras coisas sem grande importância. Não, não fiquei preocupada como iria ser mãe, isso vem depois.
Depois desse dia, todos os outros passam mais devagar. O tempo é contado de outra forma, todos os dias são analisados num calendário e o meu passou a reger-se pelas consultas, pelo tempo que falta para algo. No início foi o sufoco de saber que estava tudo bem. Ver ali um feijão de 7mm com um coração que nos faz cair lágrimas, muda tudo em nós. Caramba, chorar por um ser de 7mm, onde já se viu? Porque passamos a gostar tanto daquela coisinha que ali está e que mais ninguém sabe que está.
A seguir começam as dúvidas...será que ele está bem? Vivo? Começamos a ler parvoíces pela Internet fora e começamos a estar atentos a histórias tristes, com finais horripilantes e imaginamos que isto nos vai acontecer a toda a hora. É uma correria para o wc, confirmar se está tudo ok, hmm parece que sim mas nunca vi isto, será normal? Todas as dorzinhas são sinais de alerta e as 4 semanas entre cada ecografia parecem meses... Saio de cada consulta com o coração completo, feliz...e essa sensação dá lugar a ansiedade conforme o tempo passa e se aproxima a próxima consulta.
A nossa vida passa, então, a ser por etapas. Chegar às tão aguardadas 12 semanas, é mais seguro dizem os livros, e queremos contar ao mundo! Das 6 às 12 semanas eu ia jurar que tinha passado meio ano...
Quando atingimos esse patamar, queremos o próximo. Queremos notar a barriga, sentir que ele está ali dentro e que todos o vêem. Começamos a achar que toda a gente está grávida de repente, só vemos barrigas gigantes a circular e imaginamos que um dia vamos ser nós, mas esse dia parece distante.
As coisas boas são as roupinhas lindas nas lojas, o sentimento de mãe que começa a surgir, a alegria todos os dias a acordar e saber que cresce ali dentro a coisa mais incrível da nossa vida. Mas tem más, desculpem mas tem...de repente sentimos que não estamos grávidas mas sim gordas! a barriga está longe de ser evidente, mas a roupa está pequena...as calças não apertam e as pessoas reparem que temos um mini pneu e ficam na dúvida. Há quem enjoe muito o que ajuda à festa, eu cá comi como se não houvesse amanhã, compensei a falta de tudo o resto (sim, eu sinto falta de um bom copo de vinho e sushi aos quilos...se calhar basta um ovo estrelado a escorrer por cima de batatas-fritas). Aqui sim começamos a pensar "espera lá, pára tudo, acho que não estou preparada para isto!".
Há depois aquelas pessoas que ajudam imenso:
- "ui, nunca mais vais dormir, esquece isso"
- "a tua vida muda, não penses que vais andar ai a sair à noite e tal...acabou"´
- "ainda é muito cedo, há muita gente com abortos nesta altura"
- "estás tão gordinha, bem me pareceu...mas olha que o pior está para vir"
- "tens que amamentar, já pensaste nisso? e o parto? natural! sem epidural ouviste?"
podia continuar por aí fora, e aqui entra este outro grande aspecto que mudou em mim e na minha vida: as pessoas. Percebemos quem são os nossos amigos, amigos de verdade...e lamento informar, são poucos! Vão perceber que grande parte das pessoas que vos rodeiam, não estão para aturar histórias de bebés, dúvidas de mãe de 1ª viagem e pessoas que não podem beber uns copos ou ir a sítios com muito fumo...que seca! E quando damos conta, ficámos meio isolados num mundo que ainda não conhecíamos. No início faz confusão, mas depois começamos a sentir uma paz enorme, e crescemos tanto, mudamos, damos menos importância a coisinhas destas, a histórias patéticas, aprendemos a sorrir e acenar sem que isso nos faça qualquer diferença, aprendemos a dizer não às pessoas porque a nossa prioridade agora é outra. Senti em mim uma força desconhecida, para proteger aquele mini-ser dentro de mim, eu sou capaz de tudo.
Um dia acordamos e olhamos para nós no espelho e pumba! está ali uma enorme barriga que já todos notam. Ficamos surpreendidos quando a senhora do jumbo nos sorri na caixa, ou quando nos dão o lugar na fila da h&m. Uau, nota-se? Começamos a ter aquele hábito de grávida de andar com as mãos na barriga...pois é meninas, isso acontece, mesmo que não queiram. Eu podia passar o dia inteiro a fazer festinhas nele, é tão bom. Começa então a altura em que nos perguntam se já o sentimos e as mães mais experientes descrevem a sensação. Passamos a estar atentas ao mínimo sinal e tememos confundir gases intestinais com o nosso rebento. Juntar a isso a ansiedade de saber o sexo, torna os 4/5 meses numa nova fase de eternidade e tempo parado. Surgem as primeiras prendinhas para o rebento, e começamos a querer tê-los mais perto, mais reais.
Eu faço hoje 25 semanas. Que sei eu de estar grávida? Muito pouco ainda. Sei que não passo mais de 5 minutos sem pensar nele. Cada fase é vivida intensamente. Descobrir às 16 semanas que é um menino. Descobrir às 21 a cara dele, o rosto. Descobrir às 24 que temos que ir fazer um exame mais aprofundado porque há dúvidas. Sofre-se como mãe. Há preocupações que eu desconhecia e agora sei que nunca mais vou estar 100% focada em mim como antes, isso acaba. E se não acaba, algo de muito errado se passa.
Não sei como são as outras mães. Mas eu quero que as próximas semanas passem a correr. Quero vê-lo cá fora. Na minha ingenuidade de grávida, eu quero que estas preocupações todas terminem... mas eu imagino que mal sei o que está para vir.
Talvez devesse aproveitar melhor esta fase em que ele está aqui só para mim, só meu. Posso levá-lo para todo o lado, sempre comigo. Sinto-o como ninguém nunca irá sentir e esta ligação é a mais forte que conheço.
Se calhar, mas só mesmo se calhar, vou ter saudades. Porque as mães são egoístas. E este piolho aqui dentro é meu, agora é muito meu e uma pequenina parte de nós teme como será quando deixar de o ser.
Não há melhor forma de acordar, em dia de tempestade...
acordar e sentir-te dar mil voltas aqui dentro, o teu corpinho inteiro a escorregar-me nas mãos enquanto passas daquela posição atravessada que torna a minha barriga na coisinha mais disforme que já vi e te voltas a meter viradinho de cabeça para baixo.
Ainda nem abri os olhos e já estou a sorrir, só de te sentir assim em ambas as mãos.
Ainda nem abri os olhos e já estou a sorrir, só de te sentir assim em ambas as mãos.
Friday, December 20, 2013
Eco morfológica 21 semanas
Ontem foi dia da ecografia mais aguardada, a expectativa era tão grande...acho que nestes dias nem dá para dormir decentemente (ou isso, ou eu já sou uma mãe galinha do pior!)
depois de contar cada minuto do dia, a hora da eco chegou e o meu coração quase saltava do peito!
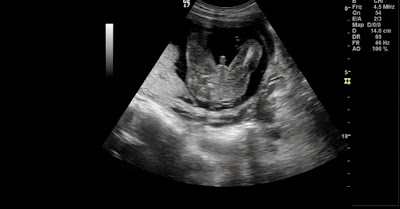
a primeira imagem foi logo esta, acompanhada das palavras do médico "eh lá, não há dúvidas que é um pilas!"
Estava tudo óptimo com ele, vimos todos os pedacinhos e todos os orgãos e nunca é demais...sabe tão bem!
Portanto, o Guilherme está ali para ficar, é gorducho (480gr) e super mexido, foi uma festa.
Mais uma grande etapa ultrapassada :D!
depois de contar cada minuto do dia, a hora da eco chegou e o meu coração quase saltava do peito!
a primeira imagem foi logo esta, acompanhada das palavras do médico "eh lá, não há dúvidas que é um pilas!"
Estava tudo óptimo com ele, vimos todos os pedacinhos e todos os orgãos e nunca é demais...sabe tão bem!
Portanto, o Guilherme está ali para ficar, é gorducho (480gr) e super mexido, foi uma festa.
Mais uma grande etapa ultrapassada :D!
Monday, December 16, 2013
Desculpa qualquer coisa...
O melhor Natal de sempre...porque te carrego em mim!
ainda só tens 20 semanas e 3 dias e eu já tenho tanta coisa para te pedir desculpa...sinto-me tão feliz e, mesmo assim, reclamo tanto. Desculpa, a culpa não é tua...sabes, não é fácil ver tanta coisa mudar em nós, mas não ouças Gui, são só palavras sem sentido. São apenas desabafos (e ainda bem que és rapaz, estas hormonas de mulher são uma seca!)
faltam 137 dias para te conhecer (mais coisa menos coisa) e nesse dia eu vou encher-te de mimos e beijos como nunca...vou aproveitar para te pedir desculpa de todos os dias menos bons que tiveste aqui dentro...eu faço o melhor para que te sintas confortável e quentinho, mas nem sempre é fácil!
ainda só tens 20 semanas e 3 dias e eu já tenho tanta coisa para te pedir desculpa...sinto-me tão feliz e, mesmo assim, reclamo tanto. Desculpa, a culpa não é tua...sabes, não é fácil ver tanta coisa mudar em nós, mas não ouças Gui, são só palavras sem sentido. São apenas desabafos (e ainda bem que és rapaz, estas hormonas de mulher são uma seca!)
faltam 137 dias para te conhecer (mais coisa menos coisa) e nesse dia eu vou encher-te de mimos e beijos como nunca...vou aproveitar para te pedir desculpa de todos os dias menos bons que tiveste aqui dentro...eu faço o melhor para que te sintas confortável e quentinho, mas nem sempre é fácil!
Tuesday, December 03, 2013
Prendas e mais prendas
Por muito que tente evitar, já são várias as prendinhas cá por casa... e o "pior" está para chegar, com a aproximação do Natal =D!
Aqui ficam as Primeiras Roupinhas que eu e o papá comprámos:
Como podem ver, o meu instinto já me dizia que seria um menino x)
Mais tarde, após uma das ecografias, comprámos mais 2 pijaminhas coloridos, ainda não sabíamos o sexo:
Chegaram algumas prendinhas como o quadro em gesso para o pezinho do bebé (titios Caty e Marco), biberão da Chicco, babetes...tudo isso no aniversário do Papá:
Na foto podemos ainda ver as sapatilhas azuis, a mais recente compra da avó e babetes amarelos lindooos que eu confesso não ter resistido quando visitei a Zara.
Um conjunto de babygrows lindos e sapatilhas all star, prendinhas das amigas (aka titias babadas):
De um modo geral, sem contar com livros e com as prendas que estão em casa de ambos os avós, a coisa lá por casa já anda assim:
A coisinha que mais adoro é esta coruja, todos os dias o baby ouve (ou não) através da minha barriga! Não sei se o garoto gosta, ou me roga pragas =P, mas eu cá coloco a coruja a tocar e fico calminha...calminha! No fundo, eu desejo profundamente que ele um dia adormeça assim quase de imediato a ouvir isto (keep dreaming eu sei...)
Aqui ficam as Primeiras Roupinhas que eu e o papá comprámos:
Como podem ver, o meu instinto já me dizia que seria um menino x)
Mais tarde, após uma das ecografias, comprámos mais 2 pijaminhas coloridos, ainda não sabíamos o sexo:
Chegaram algumas prendinhas como o quadro em gesso para o pezinho do bebé (titios Caty e Marco), biberão da Chicco, babetes...tudo isso no aniversário do Papá:
Na foto podemos ainda ver as sapatilhas azuis, a mais recente compra da avó e babetes amarelos lindooos que eu confesso não ter resistido quando visitei a Zara.
Um conjunto de babygrows lindos e sapatilhas all star, prendinhas das amigas (aka titias babadas):
De um modo geral, sem contar com livros e com as prendas que estão em casa de ambos os avós, a coisa lá por casa já anda assim:
No Sábado, no Workshop, foram estas as amostras:
Monday, December 02, 2013
Dezembro chegou!
Chegou Dezembro, sempre nutri um carinho especial por este mês. Tenho óptimas recordações dos meus tempos de infância, adorava o espírito que se ia criando lá por casa...quando as férias da escola chegavam, era uma euforia passar os dias em casa da avó, preparar o pinheiro de Natal, apanhar o musgo e passar os dias a brincar junto ao presépio...guardo no coração estes momentos perfeitos, ao lado da minha irmã, com o cheiro a doces pela casa. A euforia de abrir os presentes no dia de Natal era um momento único, cheio de magia.
Gostava muito de um dia poder proporcionar o mesmo ao meu pequeno rebento. O que me parece, olhando para os miúdos de agora, é que o Natal já não tem a mesma magia...as crianças já não anseiam pelas prendas como eu e a minha irmã ansiávamos e as prendas são às toneladas e são arrumadas logo na 2ª semana. Tenho imensa pena quando vejo isto e queria muito, um dia, tornar as coisas diferentes em minha casa. A verdade é que ele ainda está longe de vir ao mundo e já tem toneladas de prendas lá por casa...
Este Natal tem já um encanto novo...único. Sinto-me completa, radiante. É o meu primeiro Natal com o piolho ainda quentinho e protegido aqui dentro e isso simplesmente não se explica.
Cá por casa já mora o espírito de Natal e confesso que aguardo muito ansiosamente o Natal em casa do meus pais :)!
Foto das 16 semanas:
Foto das 17 semanas:
Hoje estamos com 18 semanas + 3 dias, é incrível como metade do tempo já quase passou!
Confesso que as 18 semanas foram marcadas por momentos menos bons, para além de alguns sustos...senti-me, pela primeira vez, bastante mais sensível! Alguns dias dei comigo a chorar quase sem motivo. Não é fácil assistir a tantas mudanças e lidar com tantos sentimentos novos.
Afinal, esta é a maior aventura da minha vida...
Gostava muito de um dia poder proporcionar o mesmo ao meu pequeno rebento. O que me parece, olhando para os miúdos de agora, é que o Natal já não tem a mesma magia...as crianças já não anseiam pelas prendas como eu e a minha irmã ansiávamos e as prendas são às toneladas e são arrumadas logo na 2ª semana. Tenho imensa pena quando vejo isto e queria muito, um dia, tornar as coisas diferentes em minha casa. A verdade é que ele ainda está longe de vir ao mundo e já tem toneladas de prendas lá por casa...
Este Natal tem já um encanto novo...único. Sinto-me completa, radiante. É o meu primeiro Natal com o piolho ainda quentinho e protegido aqui dentro e isso simplesmente não se explica.
Cá por casa já mora o espírito de Natal e confesso que aguardo muito ansiosamente o Natal em casa do meus pais :)!
Foto das 16 semanas:
Foto das 17 semanas:
Hoje estamos com 18 semanas + 3 dias, é incrível como metade do tempo já quase passou!
Confesso que as 18 semanas foram marcadas por momentos menos bons, para além de alguns sustos...senti-me, pela primeira vez, bastante mais sensível! Alguns dias dei comigo a chorar quase sem motivo. Não é fácil assistir a tantas mudanças e lidar com tantos sentimentos novos.
Afinal, esta é a maior aventura da minha vida...
Subscribe to:
Posts (Atom)
































.jpg)






.jpg)

